查看购物车
|
网店帮助分类
|
留言板
购物车
(0)
购物车中还没有商品,赶紧选购吧!
登录
|
注册
产品中心
细胞系
大鼠细胞系
小鼠细胞系
仓鼠细胞系
猪细胞系
猴细胞系
狗细胞系
其他细胞系
人源细胞系
细胞培养
完全培养基
血清
基础培养基
无血清培养基
干细胞
干细胞培养基
干细胞分化培养基
细胞辅助试剂
细胞污染清除剂
平衡盐溶液及缓冲液
细胞解离试剂
细胞冻存液
抗生素
添加剂
其他试剂
细胞因子和生长因子
细胞检测
细胞周期检测试剂盒
细胞凋亡检测试剂盒
细胞活力、增殖检测试剂盒
细胞毒性检测试剂盒
细胞其他检测试剂盒
细胞培养相关耗材
培养瓶
培养板
冻存管
移液管
离心管
细胞刮铲
细胞过滤
血清瓶
培养皿
常规吸头
滤芯吸头
低吸附吸头
封板膜
乳胶手套
移液器
原代细胞
大鼠原代细胞
小鼠原代细胞
人原代细胞
兔原代细胞
猪原代细胞
羊原代细胞
其他原代细胞
基因细胞编辑库
基因敲除细胞
基因敲入细胞
基因点突变细胞
基因过表达细胞
过表达稳转株
细胞服务
细胞STR鉴定
细胞增殖检测
细胞凋亡检测
支原体检测
技术支持
实验指南
常见问题
实验技术视频
文献参考
关于我们
公司简介
联系我们
售后服务
新闻中心
公司动态
促销活动
站内搜索
细胞系
原代细胞
培养基
您的选择
商品类型:
细胞系
商品货号:
ORC2080
移除所有
选购中心
细胞系
种属
人
生长特性
贴壁细胞
细胞类型
肿瘤细胞
搜索结果 (1)
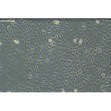
OAW42 卵巢癌细胞
本店价
4500
元
收藏
购买
澳培赛生物
沪ICP备2022016794号-2
微信公众号
企业微信号